Inorganic
synthesis group
Our
group deals with such methods of synthesis as:
-
sol-gel method
-
method of hot coordinating solvents
-
method of reverse micells (microemulsion method)
-
colloid synthesis
Our
results:
A
number of rare-earth doped nanocrystals with different size distribution
have been synthesised by methods of
hot coordinating solvents,
microemulsion method and
sol-gel
method.

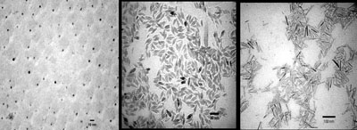
fig.1. TEM
of Y2O3:Pr3+ nanocrystals synthesised
by method of reverse micells.
fig.2. TEM
of Lu2SiO5:Ce3+ nanocrystals synthesised
by sol-gel method.
fig.3. TEM
of Eu2O3 nanocrystals synthesised by method
of hot coordinating solvents.
•
A number of rare-earth doped nanocrystals in the form of water colloid
solutions have been synthesised. We have obtained nanocrystals with
average dimensions from 1 to 100 nm with spherical, spindle and rod-like
form and different form factor values.
• The influence of shape, dimension and surroundings of nanoparticles
on the transport and cell accomulation properties has been investigated.
• The supramolucalar associates in the form of “inorganic particles
– organic molecules” complexes are synthesised. The mechanisms of controlled
apoptosis under the effect of photo-induced oxidative stress in the
cells in presence of supramolecular associates also have been investigated.
• Works for new photodynamical therapy preparations based on the nanocrystal
materials are performed.

fig.
4. Water solutions of obtained nanoluminophores under UV irradiation

fig.
5. PEM image of nanoparticles from water solutions

fig. 6. Visual
and spectral registration of nanoluminophores in the cell
fig. 7. Accumulation
of supramolecular associates and rat hepatocyte apoptosis (left sample
is the control one)
|